When it comes to dental health, timely interventions are crucial, especially for damaged or decayed teeth. Traditionally, getting a dental crown could mean multiple visits to the dentist and the hassle of temporary crowns. However, advances in dental technology, particularly the introduction of same-day crowns, have revolutionized the way we approach tooth restoration. At Casey Dental, we believe that understanding this innovative procedure is essential for anyone considering dental treatment.
What Are Same-Day Crowns?
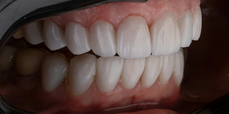
Same-day crowns, also known as CEREC crowns (Chairside Economical Restoration of Esthetic Ceramics), utilize cutting-edge computer-aided design (CAD) and manufacturing technology. This allows dentists to create custom crowns in-house, eliminating the need for off-site laboratories and lengthy waiting periods. In just one visit, patients can walk out with a fully restored smile, all thanks to advanced digital imaging and milling technology.
How Do Same-Day Crowns Work?
The process begins with a thorough examination of the damaged tooth. If a same-day crown is deemed appropriate, digital impressions are taken using advanced imaging techniques. These impressions create a precise 3D model of the tooth and its surrounding structures, which helps in designing the crown to fit seamlessly with your natural teeth.
Once the design is finalized, the crown is milled from a high-quality ceramic block using a specialized machine. This milling process usually takes about 15 to 20 minutes, after which the crown is ready to be placed on the prepared tooth. The final adjustments ensure a perfect fit and bite alignment, allowing patients to enjoy their restored tooth immediately.
Benefits of Same-Day Crowns
- Time Efficiency: Perhaps the most significant advantage of same-day crowns is the time saved. Traditional crowns often require two visits and can leave patients waiting weeks while the crown is fabricated in a dental lab. With same-day crowns, patients receive their restorations in just a single appointment.
- Comfort: Temporary crowns can sometimes be uncomfortable and may not fit well. Same-day crowns eliminate this issue, providing patients with a permanent solution without the need for a temporary crown.
- Precision and Aesthetics: CEREC technology ensures a high level of precision, resulting in a crown that fits snugly and looks natural. The ceramic material used is durable and can be color-matched to blend perfectly with the surrounding teeth.
- Versatility: Same-day crowns can be used for various dental restorations, including covering damaged teeth, protecting weak teeth, and even supporting dental bridges. Their versatility makes them an excellent option for many dental patients.
- Reduced Number of Appointments: For those with busy schedules, fewer dental appointments can mean less disruption to daily life. The convenience of receiving a crown in one visit can be a significant relief for many patients.
Caring for Your Same-Day Crown
Caring for a same-day crown is similar to maintaining your natural teeth. Regular brushing and flossing, along with routine dental check-ups, will help ensure its longevity. It’s also wise to avoid biting on hard objects and using teeth as tools, as this can lead to damage.
Conclusion
Same-day crowns represent a significant advancement in dental technology, offering patients a convenient, effective, and aesthetically pleasing solution for tooth restoration. With the ability to receive a custom crown in just one visit, patients can return to their daily activities with confidence in their smiles. If you’re considering dental restorations, the team at Casey Dental is here to guide you through the process. Discover the benefits of same-day crowns and reclaim your smile with ease.
For more information, visit our page on same-day crowns.












